• BIST 100

    14297,41%1,00
  • DOLAR

    42,68% 0,00
  • EURO

    50,19% 0,02
  • GRAM ALTIN

    5910,99% 0,05
  • Ç. ALTIN

    9539,73% 0,00

Bu kadarına da pes: Midelerinden 10 parça halinde uyuşturucu çıktı

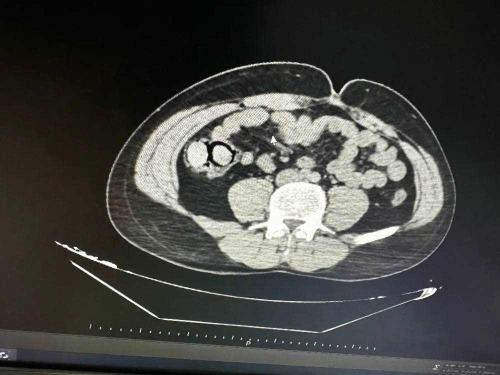
Bingöl’de akıllara durgunluk veren bir olay gerçekleşti. Otobüs yolculuğu sırasında polis ekiplerince durdurulan yabancı uyruklu iki şahsın midesinden 10 parça halinde 113 gram metamfetamin çıktı.

Genel 12.04.2025 15:31:00 0
Bu kadarına da pes: Midelerinden 10 parça halinde uyuşturucu çıktı

Bingöl’de akıllara durgunluk veren bir olay gerçekleşti. Otobüs yolculuğu sırasında polis ekiplerince durdurulan yabancı uyruklu iki şahsın midesinden 10 parça halinde 113 gram metamfetamin çıktı.
Bingöl Emniyet Müdürlüğü Narkotik Suçlarla Mücadele Şube Müdürlüğüne bağlı narko-timleri akıllara durgunluk veren bir uyuşturucu kaçakçılığını çözdü. Ekiplerin çalışmaları neticesinde otobüs ile Bingöl’e gelen şüpheli yabancı uyruklu 2 şahsın iç beden muayenesinde 10 parça halinde 113 gram metamfetamin maddesi tespit edildi. Emniyetteki işlemlerinin ardından mahkemeye çıkarılan 2 şahıs, uyuşturucu madde ticareti yapmak suçundan tutuklanarak Elazığ Kapalı ceza infaz kurumuna teslim edildi.

Haber Kaynak : IHA

Haber Editörü

IHA

Yorum Yazın

Salı 7.4 ° / 2.7 °
Çarşamba 10.6 ° / 3.3 °
Perşembe 10.4 ° / 1.5 °

Veri politikasındaki amaçlarla sınırlı ve mevzuata uygun şekilde çerez konumlandırmaktayız. Detaylar için veri politikamızı inceleyebilirsiniz.